Feel the difference
Life feels completely different with beautiful teeth. New, perfect teeth not only allow you to enjoy all foods to the fullest, but also bring back your smile and self-confidence, making you look younger, healthier, and more sophisticated. Once you have your new teeth, it’s important to care for them properly, for example by having a professional dental cleaning at least once a year.
Before and After pictures
Patient satisfaction is our top priority. We are always delighted to see the joy on our patients’ faces when they see their new smile for the first time. Take a look at our work by viewing our before-and-after photos.
Warning: The following images may be disturbing to some viewers.
Anna K. (H)
SPARK™ Aligner; 32 weeks
Louis D. (UK)
Spark™ Aligner; 39 weeks
Manuela V. (D)
28 Zircon crowns, 10 days
Veronika E. (D)
28 e.Max full ceramic crowns, 10 days
Paul R. (D)
12 Zircon crowns, 5 days
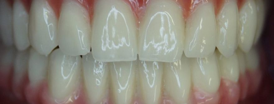
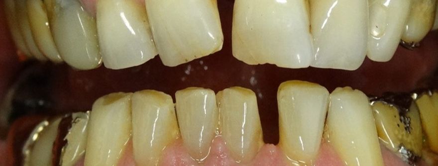
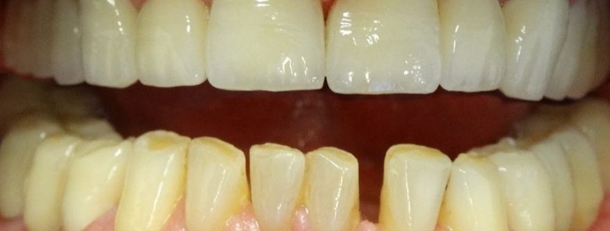
Michael P. (CH)
4 e.Max porcelain veneers, 5 days
Hardi P. (D)
7 Implants, 13 Zircon telescopic crowns, upper-lower telescopic prostheses BioHPP (Premium), 12 days
Sarah H. (D)
20 Porcelain-fused-to-metal crowns, 5 days
