Virtual tour
Our virtual tour gives you the opportunity to get to know our clinic environment and facilities before you visit us in person. You can see the latest X-ray and diagnostic equipment, as well as modern treatment chairs and sterilization systems that ensure safe and effective treatments.
Explore our clinic!
Successful dental treatments
Procedures under general anesthesia
Satisfied patients
Commitment to quality
Best dental clinic in the heart of Budapest
Dental clinics in Budapest are very popular due to the expertise of the dentists and the optimal price-performance ratio. The number of dental patients traveling to Hungary from Germany is increasing by more than 10% annually.
Evergreen Dental Clinic is located on the famous Andrássy Boulevard in the heart of Budapest, in a breathtakingly beautiful, completely renovated building dating from 1870.
Our certified (GCR) dental clinic is not just modern but will immediately make you feel at home. The warm green colors in the waiting room, with broadband Wi-Fi create a cozy living room atmosphere, where, at any time you can ask our coordinators for a warm coffee or a tea. Our friendly, fluent English-speaking staff will ensure you have a very pleasant experience with us. (nekem ez a privát páciens dolog elég furán hangzik)

One step closer to your perfect smile
Personalized, free plan via email – within 24 hours

Treatment rooms
The large treatment rooms (20-30 square meters) with air conditioning are in stark contrast to the usual, rather claustrophobic treatment rooms that one typically enters.
All of our treatment rooms have a consultation area where patients can sit down with the dentists and interpret the X-rays together, clarifying all questions relevant to the treatment.
Dental check-up
Our dental clinic specializes in solving all dental problems as efficiently as possible. Our highly qualified dentists always take the time to fully understand your problem and expectations so that they can offer you the best possible solutions. Using our models and digital planning software, we give you a perfect overview of the situation and possible solutions in advance.
Our examination is designed to provide you with comprehensive information without obligation and to answer all your questions, enabling you to make an informed decision about your dental treatment.

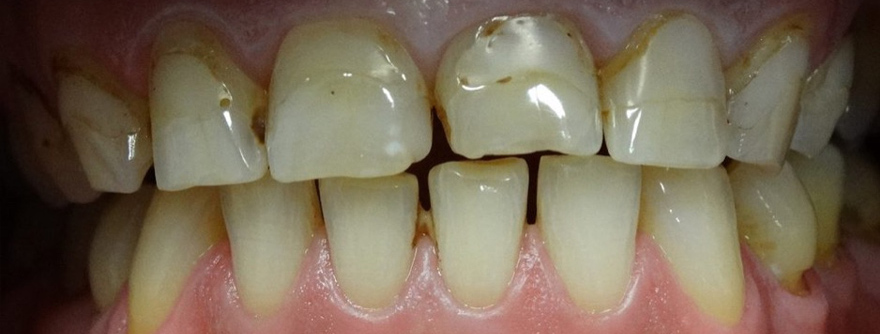
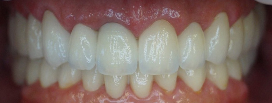
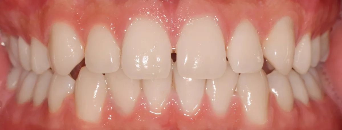
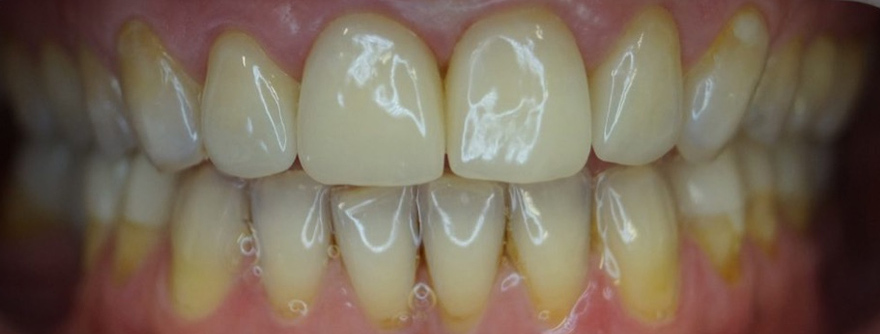
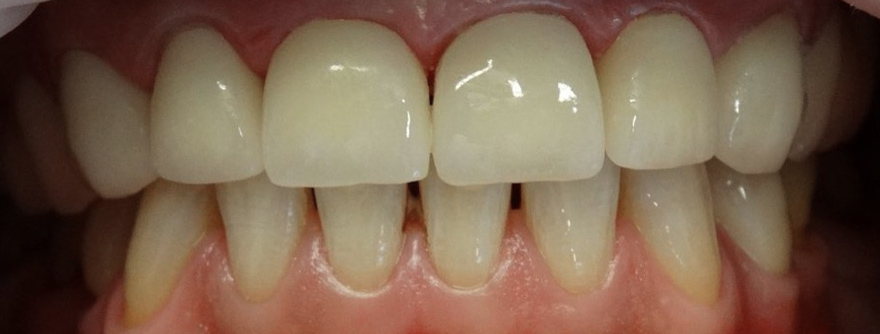
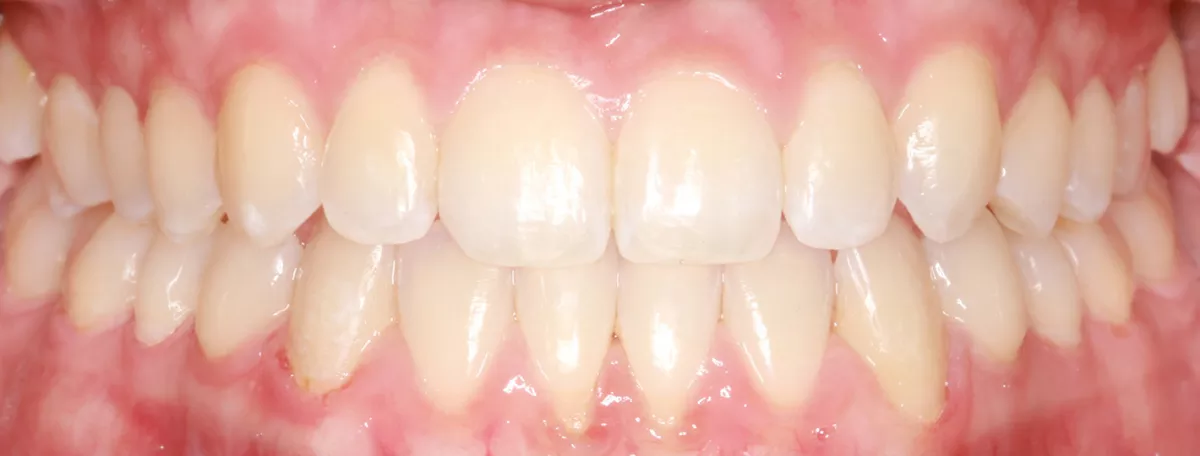
Teeth before and after
Patient satisfaction is our top priority. We are always delighted to see the joy on our patients’ faces when they see their new smile for the first time. Take a look at our work and view our before and after photos.
Anna K. (H)
SPARK™ Aligner; 32 weeks
Louis D. (UK)
Spark™ Aligner; 39 weeks
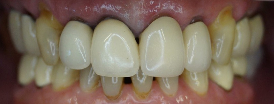
Manuela V. (D)
28 Zircon crowns, 10 days
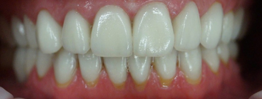
Veronika E. (D)
28 e.Max full ceramic crowns, 10 days
Paul R. (D)
12 Zircon crowns, 5 days
Michael P. (CH)
4 e.Max porcelain veneers, 5 days
Free dental check-up
Including preparation of the treatment and cost plan.
Dental implants
Implant screw + Implant abutment + Implant crown.
General anesthesia/sedation
Performed by
specialists.
Professional Dental Team
When selecting our dentists, we pay attention to very specific criteria. If you are looking for the best dentists for your treatment in Hungary, Evergreen Dental is the right choice for you.








