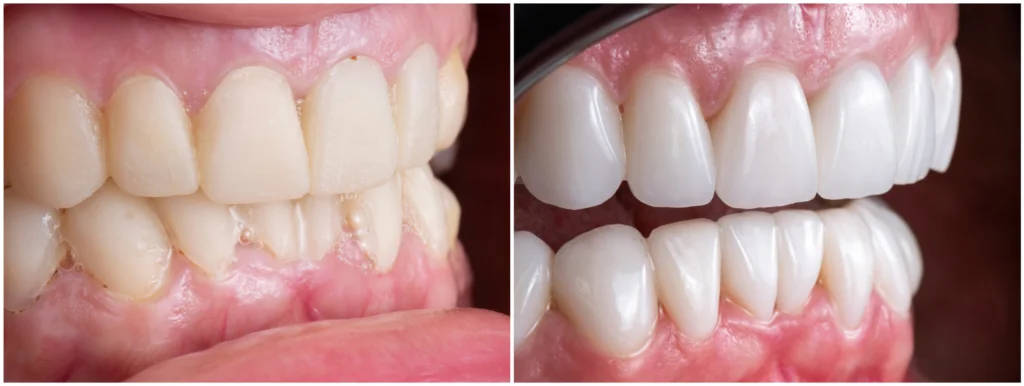
Veneers – The Hollywood smile
Porcelain and composite veneers are particularly successful nowadays, because only a very small amount of tooth enamel is removed, the teeth do not have to get a crown immediately, in addition, veneers are very beautiful and durable.
WHAT DOES COMPOSITE OR DIRECT VENEER MEAN?
Composite veneer means that the tooth is not abraded, there is no imprint and no dental technician needed, but the entire treatment is performed within the dental office in one or maximum 2 steps.
After removing the old fillings and the soiled parts, the dentist sets up the tooth and then covers it with an aesthetic composite shell. This requires special techniques and the artistic sensibility of the dentist.
During the treatment, the dentist uses composite materials of different tone and color from the deep layers to the surface. The result is a beautiful restoration that resembles the natural.
IN WHICH CASES IS IT WORTHWHILE TO MAKE COMPOSITE VENEERS?
Composite veneers can be made in all cases where no tooth is missing or if only a little bit of a tooth is missing. This is often the case when tooth decay or larger fillings occur.
Composite veneers can also change the shape and color of the teeth. It may also be that a tooth whitening is made prior to building the composite veneer so that a new tooth color can be formed that is much whiter than the previous one.
The teeth whitening and the composite veneer together meet the expected result. In some cases, patients opt for composite veneers when they are reluctant to wait for porcelain veneers, as they also require the work of a dental technician, and therefore take longer to complete.

PORCELAIN VENEERS – THE SECRET OF THE HOLLYWOOD SMILE
Porcelain veneers are the ideal solution to hide minor flaws, discoloration and aesthetic imperfections. Porcelain veneers are the most elegant achievement of aesthetic dentistry.
Careful design, extremely precise preparation by the doctor and aesthetically demanding work by the dental technician are required. However, the work and energy that comes into play are rewarded – bright, natural-looking gorgeous teeth.
Of course, it is not unimportant that the entire crown does not need to be polished and a lot of valuable dentures don’t need to be removed, work appears only on the front of the tooth.
HOW ARE PORCELAIN VENEERS MADE?
First, the patient participates in a dental consultation. He / she is thoroughly examined by the dentist, then they discuss the treatment together.
Then the dentist removes a minimal layer of about 0.5 mm from the anterior surface of the tooth.
Thereafter, a precise imprint is taken from the patient’s teeth, so the dental technicians can make the porcelain veneer.
As long as the veneer is being made, the patient will receive a temporary veneer to preserve the aesthetics of the teeth and avoid any discomfort.
The porcelain veneer is fixed at the next meeting with the dentist with a very strong special adhesive.

WHAT SHOULD I CHOOSE: COMPOSITE OR PORCELAIN VENEERS?
This question is often asked when it comes to the aesthetic renewal of the anterior teeth. There are significant differences between the two treatments.
The main features of composite veneers:
- fast
- can mostly be done in one treatment
- cheaper
- no dental technician is needed
- nice, markable result in one dental treatment
The main features of porcelain veneers:
- slower technique
- the production takes 1-2 weeks
- a dental technician is needed
- more expensive technology
With this technique, the most beautiful aesthetic interventions can be made.
In order to make the decision, these considerations must be taken into account. The price and the aesthetic needs of the patient are not all the same. If you are looking for one of the finest, most natural and exquisite solutions, you will surely choose porcelain veneers.
However, if you are looking for a fast and relatively inexpensive solution that can restore teeth beautifully and reliably, then composite veneers are an excellent choice.
NACH DER AUFSETZUNG VON VENEERS
The cleaning of veneers is very important. Tooth decay can not form on veneers, but on the teeth underneath it can. Therefore, the advice on oral and dental care should be strictly followed.
Porcelain veneers resist the discoloration caused by food, but it is recommended to reduce the consumption of some drinks such as coffee, tea or red wine.
The lifetime of veneers varies. It can also be influenced by genetics, dental and oral hygiene. In general, veneers can last from 8 to 12 years, but in case of proper lifestyles and good oral and dental hygiene, this time can be increased.
At the end of their life they fall off the adhesive. If necessary, veneers must be exchanged.
